BỆNH VIỆN
CHẤN THƯƠNG CHỈNH HÌNH NGHỆ AN
Tận tâm từ gốc - Vững chãi vươn xa
Toggle navigation
Giới thiệu
Sơ đồ bệnh viện
Chuyên khoa
Danh mục kỹ thuật
Lịch sử hình thành
Phòng chức năng
Phòng kế hoạch tổng hợp
Phòng Tài chính kế toán
Phòng Tổ chức hành chính
Phòng Điều dưỡng trưởng
Phòng Quản lý chất lượng
Sơ đồ tổ chức
Sứ mệnh tầm nhìn
Thành tích đạt được
Lãnh đạo bệnh viện
Phác đồ điều trị - QT kỹ thuật
Tin tức sự kiện
Tin tức y khoa
Báo chí nói về bệnh viện
Văn bản
Bệnh viện CTCHNA
Văn bản của Tỉnh
Tỉnh Nghệ An
Sở Y tế Nghệ An
BHXH tỉnh Nghệ An
Tuyển dụng
Thông báo
Hoạt động
Góc từ thiện
Hoạt động bệnh viện
Hợp tác quốc tế
Chỉ đạo tuyến
Dành cho khách hàng
Quy định khám bệnh
Bảng giá dịch vụ
Hỏi đáp
Liên hệ
Tra cứu hóa đơn điện tử
Tra cứu HĐ điện tử theo TT78
Đăng ký khám bệnh
Tiện ích
Kết luận giao ban
Bệnh án điện tử
Trang chủ
Chỉnh hình nhi
Bàn chân khoèo: Nguyên nhân và triệu chứng
02/07/2024 17:00
Đã xem: 2543
Bàn chân khoèo sơ sinh thường xuất hiện kèm với một số dị tật bẩm sinh khác hoặc có thể tồn tại một cách độc lập. Tỉ lệ của bàn chân khoèo sơ sinh được ước tính là khoảng 1/1000 trẻ sơ sinh.
Dị tật dính ngón tay bẩm sinh
05/11/2023 17:00
Đã xem: 3795
Dị tật dính ngón tay bẩm sinh là dị tật đứng thứ 2 trong các dị tật của bàn tay (sau dị tật thừa ngón). Tần suất gặp 1/2.000 trẻ, 10 – 40% trẻ bệnh có liên quan đến di truyền.
Chấn thương nhi: Gãy trên hai lồi cầu xương cánh tay
23/04/2020 17:00
Đã xem: 5438
Gãy trên lồi cầu xương cánh tay là loại gãy vùng khuỷu phổ biến ở trẻ em trong lứa tuổi từ 5-12 (đặc biệt ở trẻ 8 tuổi).
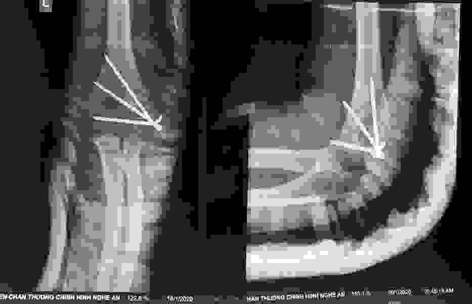
Điều trị gãy lồi cầu ngoài xương cánh tay ở trẻ em
12/03/2020 17:00
Đã xem: 5804
Phẫu thuật thành công ca bệnh hiếm gặp...khớp giả bẩm sinh xương chày
26/06/2019 17:00
Đã xem: 3735
Bệnh viện Chấn thương- Chỉnh hình Nghệ An, vừa phẫu thuật thành công cho bệnh nhi khớp giả bẩm sinh xương chày
Liên kết website
-- Website Sở Y tế --
Sở y tế Hà Nội
Sở y tế Bắc Giang
Sở y tế Thanh Hóa
Sở y tế Quảng Ninh
Sở y tế Thanh Hóa
Sở y tế Thái Nguyên
Sở y tế Cần Thơ
-- Liên kết khác --
Bộ y tế
Cục y tế dự phòng
Cục Quản lý Dược
Cục quản lý khám chữa bệnh
Liên hệ với chúng tôi